河池市中医医院
掌上医院
【笔墨藏谢意 医者暖人心】
市中医医院优质医疗服务获患者暖心认可
在医院里,我们见证过太多匆忙的脚步与焦灼的面容。但总有一些瞬间,一些话语,如同穿透云层的阳光,将温暖与感动悄然送达。
【壹】
近日,河池市中医医院骨伤科一病区收到一封手写感谢信,它来自一位曾在这里度过艰难时光的骨伤患者。字里行间,没有华丽的辞藻,只有最朴素的真情与铭记。

“从术前治疗、沟通,到术中保障,到术后康复指导,你们始终态度谦和,用心尽责,重视治疗效果,也充分顾及病人的感受与心理需求,真正做到了‘恪尽职守医术精,关怀备至暖人心’。”信中字字恳切、句句暖心,不仅记录了唐女士就诊期间的难忘经历,更饱含着对医护团队专业诊疗与贴心关怀的由衷感谢,为初春里增添了一抹温情。

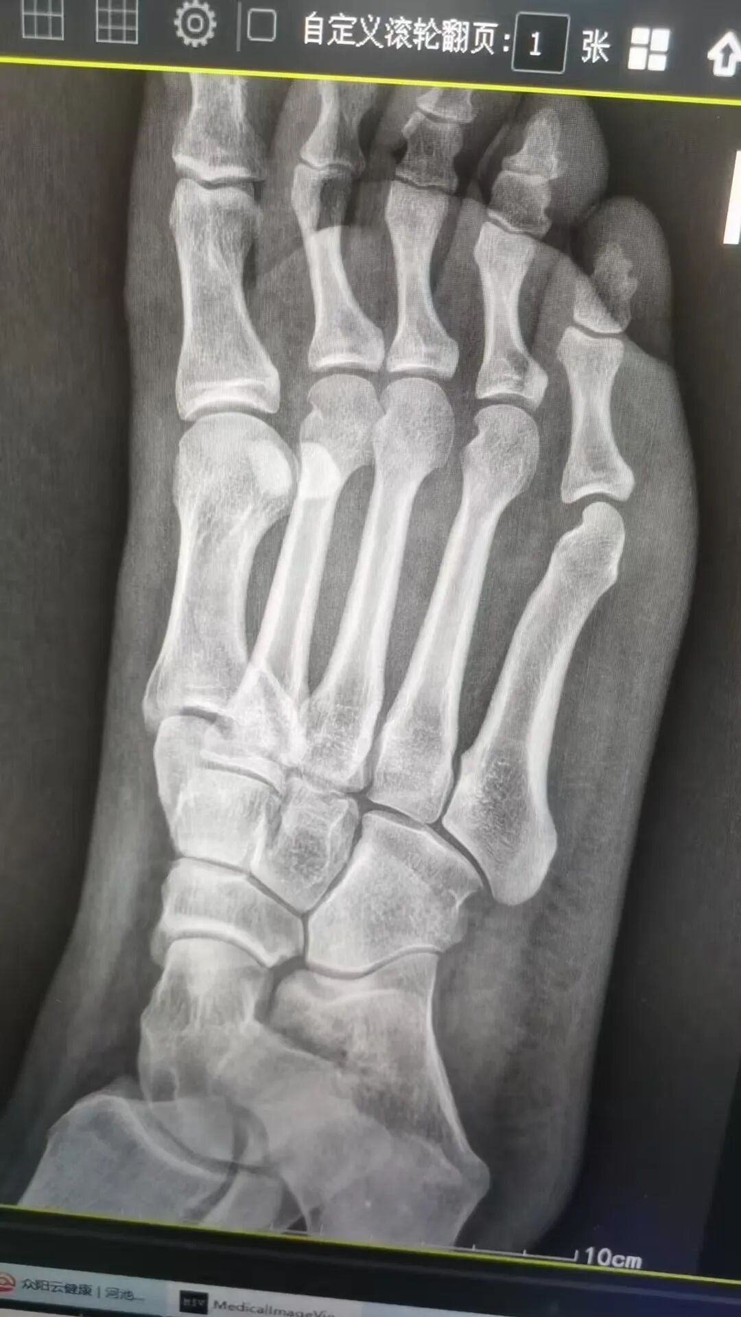
据悉,今年春节假期期间,家住南丹县的唐女士在行走时不慎跌倒,伤及右足部,伤后即感右足部呈持续性胀痛,右脚不能站立及行走,在家休息一天后,患处肿痛未缓解,遂至市中医医院骨伤科一病区就诊。经医生查体并行DR等辅助检查后,唐女士被诊断为“右足第一跖骨骨折”收治入院。
在唐女士住院治疗期间,科室医疗团队为她制定了周密严谨的手术与诊疗方案,从术前耐心讲解病情与手术流程,到术中的技术娴熟与精准施治,从日常护理的细致叮嘱到康复阶段的跟踪指导,每一个环节都彰显着医护人员的专业素养与责任担当,让唐女士在就医过程中始终感受到安心与温暖。
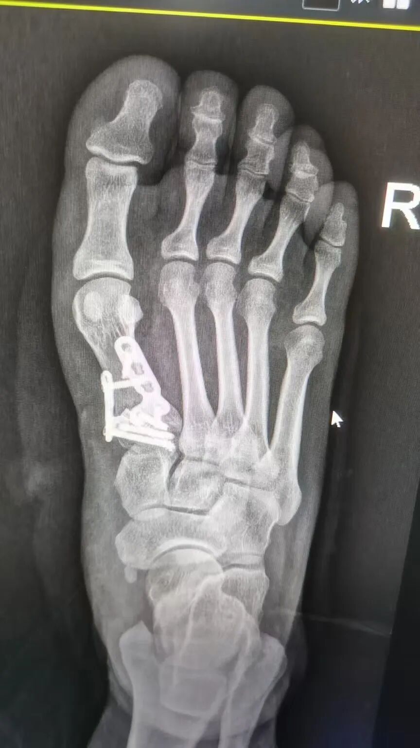
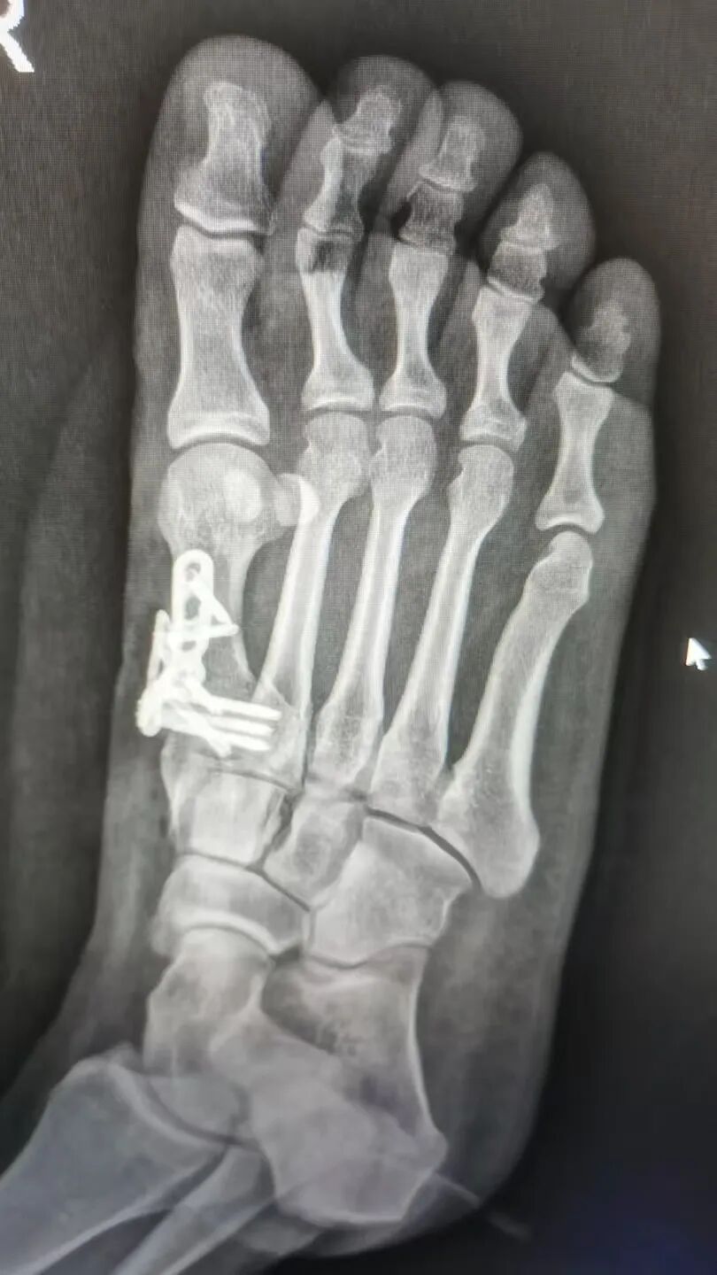
经过两个礼拜的精心治疗与护理,唐女士的手术非常成功,病情得到了显著改善而康复出院。为表达感激之情,她特意写下这封感谢信,字里行间满是对医护人员专业素养的认可和人文关怀的动容。



△术前



△术后

得到患者的认可,这不仅是一份荣誉,更是医者初心的见证。骨伤科一病区全体医护人员表示:患者的认可就是我们前进的最大动力,我们将不断提升医疗技术水平和服务质量,用实际行动守护每一位患者的健康。
【贰】
专业护航,关爱延伸,优质医疗服务屡获认可。同样,市中医医院肾病/风湿病科也收到了一封特殊的感谢信——80岁患者蒙奶奶用一首质朴的小诗,诉说着自己的康复喜悦,也为医院的微创诊疗技术写下了最生动的赞美。

据了解,蒙奶奶因脚痛走路歪扭、行动不便,来到市中医医院肾病/风湿病科寻求治疗。科室医疗团队经过查体及相关辅助检查后,为她制定了针刀镜精准施治方案。手术过程中,医护人员耐心陪伴、细致沟通,让蒙奶奶在轻松安心的状态下完成了治疗。


术后,蒙奶奶的脚部疼痛明显缓解,走路也恢复了平稳。为了表达心中的感激,她亲笔写下这首充满温度的小诗,字里行间满是对医院、对医护人员的认可与谢意。
从步履蹒跚到行走自如,一句句朴实的诗句,是患者康复后最真挚的心声,也是对肾病/风湿病科医疗团队技术与服务的最高褒奖。科室将继续以精湛医术为盾,以人文关怀为暖,守护每一位患者的健康与笑容。

一封感谢信,架起医患连心桥;一份医者心,温暖病患康复路。市中医医院将始终秉持“以百姓健康为中心”服务理念,深耕医疗质量,厚植人文情怀,为广大群众提供更安全、更优质、更暖心的医疗服务,让医患情深在守护中不断延续。
小贴士:
针刀镜是一种微创可视化治疗技术,在治疗关节疼痛、软组织粘连等问题时,能精准定位病灶、松解病变组织,可为众多慢性疼痛患者提供安全、有效的治疗新选择。
撰稿:韦郦珺 班秀梅 韦广萍
编辑:韦郦珺
一审一校:莫安青
二审二校:张智英
三审三校:袁朝勇