河池市中医医院
掌上医院
特写丨跨越千里的感谢:是你们的救治让我重获新生
回看病例,上面赫然列着十项疾病诊断,每一项诊断都是致命的打击。然而,他康复了!回到家乡武汉2个月后,他又跨越千里专程来到河池市中医医院骨伤科表达他的感激之情!

意外坠落致全身多处损伤
多科联动紧急会诊
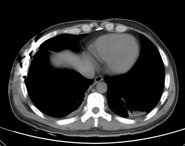
两个月前,来自湖北武汉的牟先生不慎从高处坠落,造成腰椎爆裂性骨折、胸腰横突多发骨折、肋骨多发骨折、骨盆骨折、双肺挫裂伤并右侧血气胸等8处多发伤来到河池市中医医院进行救治。当时情况紧急,剧烈的疼痛及多处的创伤让他一度陷入精神萎靡状态,急诊为他开放绿色通道。同时,医院组织骨伤科一、二病区、颅脑颈胸外科、泌尿外科、肛肠腹部外科、麻醉科、输血科、放射科等形成专家团队,启动多学科联合紧急会诊,明确诊断,研究救治方案。
①腰椎爆裂性骨折
腰椎爆裂性骨折是腰椎粉碎性骨折中较严重的一种,只有非常大的暴力才能导致腰椎爆裂性骨折,腰椎不稳,多伴有椎管受累、脊髓神经受损、瘫痪等。牟先生是从高处坠落,造成胸腰椎共8处明显损伤,胸腰椎及分离的骨折块极不稳定,一旦移位或骨折块进入椎管,有可能或已对神经、脊髓造成压迫或损伤,需要及时进行手术治疗,进行椎管减压、复位骨折,再进行内固定稳定胸腰椎,否则极易引发二次损伤、截瘫等并发症。
腰椎椎管受压变窄 |
腰椎椎管狭窄 |
椎管受压 |
腰椎骨折:
![]() | ![]() | ![]() |
②肋骨多发骨折
双肺挫裂伤并右侧血气胸
肋骨多发骨折是比较严重的一种肋骨骨折,它是指两根及以上的肋骨骨折,同时伴发有肋骨自身的多段骨折。该患者肋骨骨折压迫、刺破了肺部,并出现了气胸和血胸,需要进行手术治疗复位骨折,修补挫伤肺组织,胸腔闭式引流将积气、积液外引。如不及时处理,将不能够保证胸部的正常呼吸,就会造成严重的呼吸障碍,最终呼吸衰竭危及生命。
肋骨骨折:
![]() | ![]() | ![]() |
③骨盆骨折
是否存在合并症?
骨盆骨折往往是严重的暴力创伤所致,比如车祸、高处坠落等,半数以上伴有合并症或多发伤,致残率高达50%~60%,最危险的并发症是失血性休克。根据查体、患者症状及辅助检查可以确定的是,该患者存在下肢功能障碍,是否存在其他合并症尚不能完全确定,当时手术复位固定是关键的第一步。
经过市中医医院专家团队讨论,一致认为患者多发损伤,伤情重,首先观察生命体征、确保生命安全,多学科联合进行腰椎、肋骨、骨盆骨折手术,同时予中医辩证活血散瘀、补益气血,早期康复干预、促进功能早期恢复。
患者的抉择
手术还是完全保守治疗?
牟先生39岁,跨省就业奔波忙碌,是家里的顶梁柱,康复的效果直接影响到整个家庭,若选择单纯保守治疗需长期卧床,而长期卧床则并发症多,陪护也是问题;另外保守治疗骨折难以复位导致畸形愈合,必然遗留腰椎后突畸形、胸廓畸形等,远期可出现步态异常,腰痛及相邻脊柱节段退变加速出现相应症状等。这些结果都会影响他工作及生活的质量。通过专家团队耐心讲解各种治疗方案利弊,牟先生毅然选择手术治疗。
多科联动
接力完成3项手术
该患者多处损伤,手术需考虑选取最少伤害、最小切口及最少出血的方式。要进行腰椎手术必须采取俯卧位,但患者存在肋骨多发骨折,一旦采取俯卧位可能会引发二次伤害。必须先进行肋骨骨折手术及修补肺脏挫裂伤,稳定胸廓形态,保证胸部正常呼吸状态,其余手术才能更好开展。
首先,由胸外科专家技术团队开始手术第一棒,术中见右肺上叶、下叶与胸膜、膈肌粘连,挫伤创口均有漏气,右侧第5、6、7、8、9肋骨骨折,且有较多的软组织卡压在骨折断端。术者小心为患者松解粘连和卡压的组织,避免长时间受压坏死;对漏气胸膜创口予荷包缝合修补,手法复位骨折并进行固定,将右侧胸廓固定成形,放置胸腔闭式引流管引流。
肋骨骨折术后图:
![]() | ![]() |
胸腰椎手术首要注意事项是防止过度损伤脊柱稳定性及神经根、马尾,骨伤科脊柱专家技术团队借助C臂机透视精准定位,结合熟练的手法,扩大椎管及神经根管,将碎裂的骨块清除、复位,解除脊髓神经根挤压、放置钉棒固定胸腰椎。
腰椎术后图:
![]() | ![]() |
当接力棒交到骨伤科骨盆创伤专家技术团队手上时,在C臂机透视下精准定位后,固定耻骨骨折端,可喜的是,患者暂无大量失血指征,手术过程顺利。
术后康复
2个月后,他满心欢喜回院复诊!
手术后,经骨伤科多学科团队22天的精心治疗、护理及康复干预,患者收到满意的治疗效果,康复出院;并于手术后2个月满心欢喜的回院例行复查,同时精心制作了两面锦旗送到医护团队手中,表达了感激之情。
据牟先生介绍,出院后他在当地医院复查时受到当地医院医生的赞许,他们说:“你在哪个医院做的手术?这个手术做得真漂亮!”
(撰稿:李向新 审核:覃利芳 莫安青)